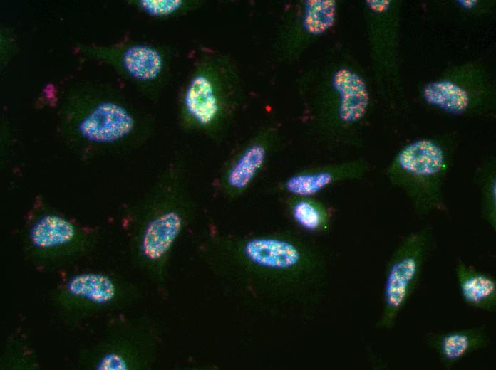
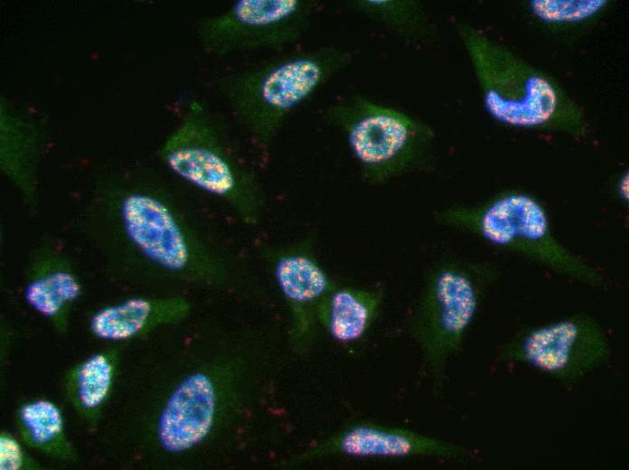
Marker sets

HNRNPF

Nuclear Speckles
(anti-SC35)

Overlay

Overlay with DAPI