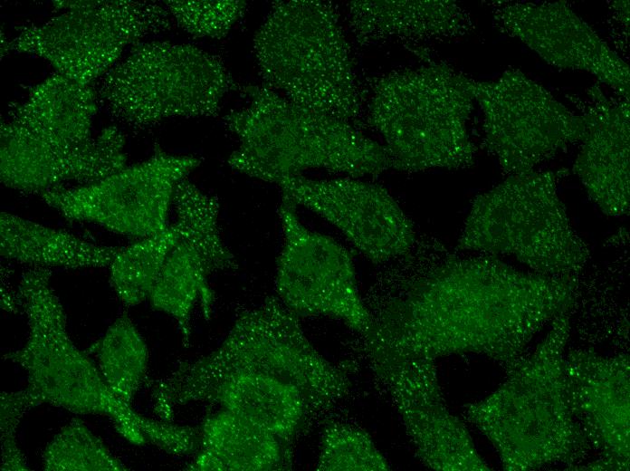
Marker sets

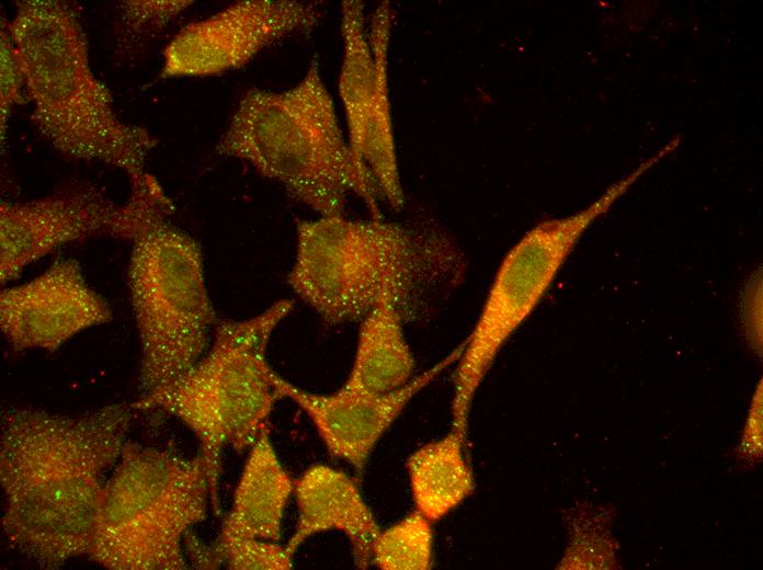
PUM2

Cell Cortex and Focal Adhesions
(anti-PhosphoTyrosine)

Overlay

Overlay with DAPI