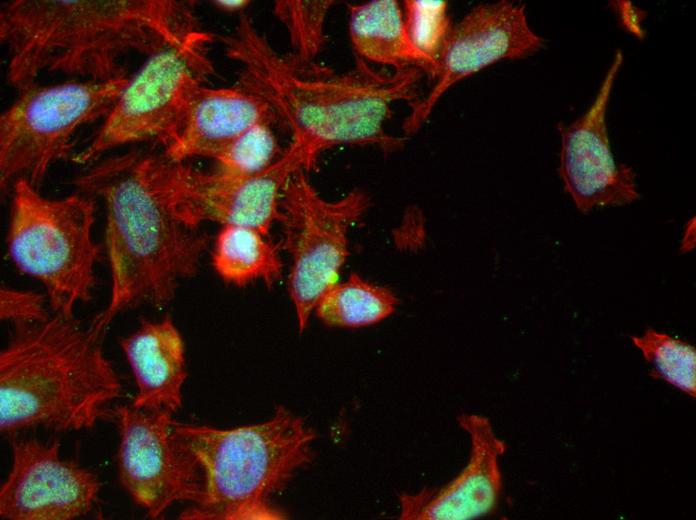
Marker sets

XPO5

Filamentous Actin
(Phalloidin)

Overlay

Overlay with DAPI