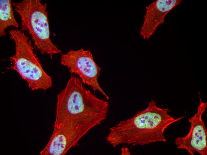
Marker sets

CSTF2

Filamentous Actin
(Phalloidin)

Overlay

Overlay with DAPI