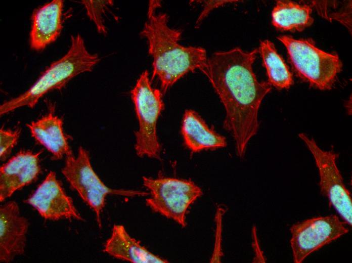
Marker sets

AKAP8

Filamentous Actin
(Phalloidin)

Overlay

Overlay with DAPI