Marker sets

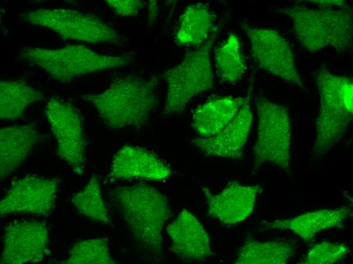
PRRC2C

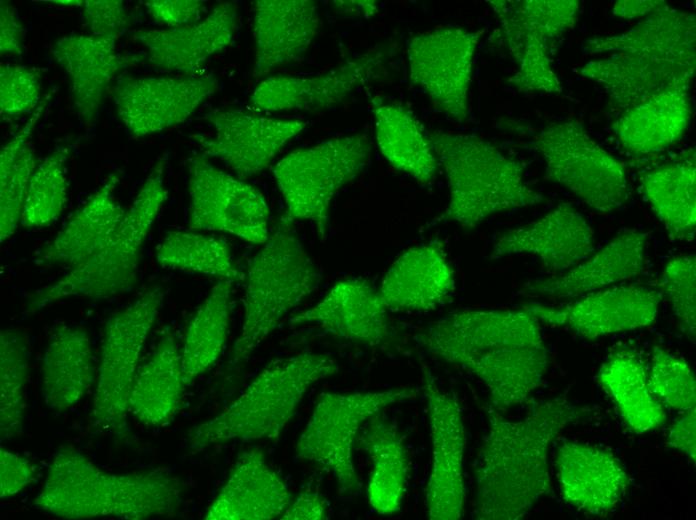
PML Nuclear Bodies
(anti-PML)

Overlay

Overlay with DAPI