Marker sets

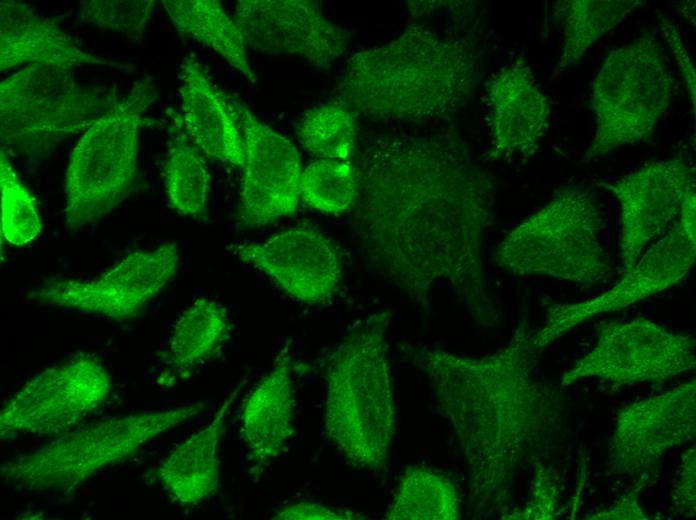
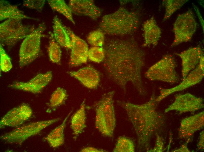
ZNF622

P-Bodies
(anti-DCP1a)

Overlay

Overlay with DAPI