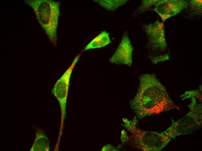
Marker sets

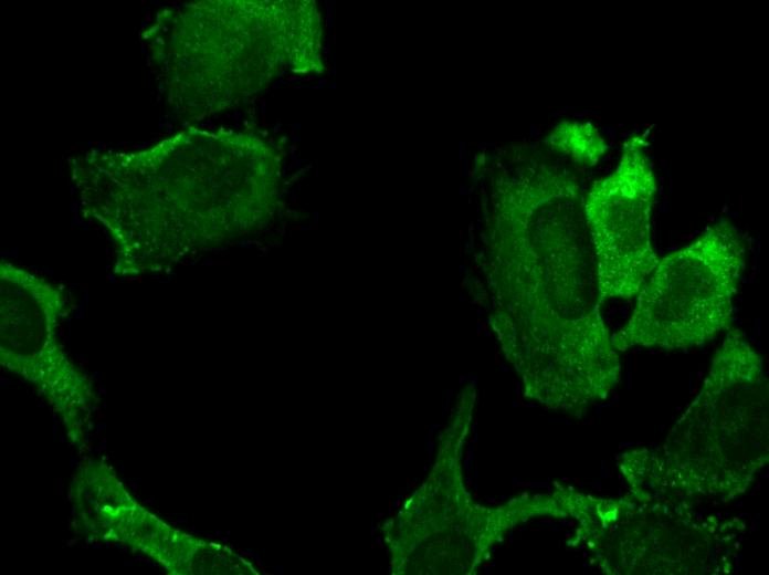
EIF2S1

Endosomal Network
(anti-CD63)

Overlay

Overlay with DAPI