Home
RBP Image Database
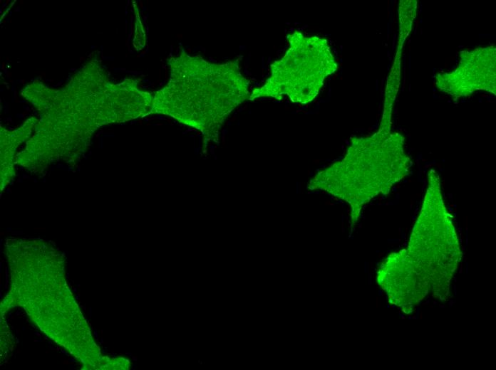
Results for RBP PTGES3 in cell line HepG2
Gene sets
PTGES3
Marker
Overlay
Overlay with DAPI
Comments
Annotation
Quality:
Exposure time:
Molecular weight:
Concentration:
Product:
Catalogue:
Alternate Name:
Ensembl Gene ID:
Features :
HepG2
Marker Co-Localized
Nuclei
Nucleoplasm
Cytoplasm
Cytoskeleton
Focal Adhesions
Cytosolic
Additional Comments:
Endosomal Network
(anti-CD63)
Cajal Bodies
(anti-Coilin)
P-Bodies
(anti-DCP1a)
Nucleoli
(anfi-Fibrillarin)
Golgi Apparatus
(anti-GM130)
Endoplasmic Reticulum
(anti-KDEL)
Mitochondria
(Mitotracker)
PML Nuclear Bodies
(anti-PML)
Filamentous Actin
(Phalloidin)
Cell Cortex and Focal Adhesions
(anti-PhosphoTyrosine)
Nuclear Speckles
(anti-SC35)
Microtubules
(anti-aTubulin)